CN EN
86-400-8228-027
Cn En
Phone
Phone:+86-400-8228-027
WeChat
Contact Us
iPSC Line Generation and Characterization
Somax Biotechnology provides world-leading human induced pluripotent stem cell (iPSC) line generation services, dedicated to converting your precious biospecimens into high-quality, validated pluripotent stem cell tools for research. With a mature and stable technical platform and extensive project experience, Somax Bio supports line generation from samples of various origins. To date, we have successfully generated over 1,000 iPSC lines, with a success rate exceeding 99%. Upon completion of line generation, we provide a full set of iPSC line characterization and quality testing services in compliance with international standards. Our ten testing items conduct a comprehensive assessment across pluripotency, genetic stability, safety, and functionality, delivering an authoritative report with comprehensive datasets and definitive conclusions, enabling hassle-free publication of your research findings.
Service Advantages
Wide range of sample sources for line generation
We are proficient in reprogramming technologies for a variety of somatic cells, and can generate cell lines from multiple sample sources including blood, amniotic fluid, skin, and urine, to meet your diverse project needs.
Mature Technology
Our most well-established protocol is for iPSC line generation from peripheral blood mononuclear cells (PBMCs). The technical workflow has been iteratively optimized and validated, delivering industry-leading stability and efficiency.
Nationwide Accessible Biospecimen Collection Network
To ensure sample freshness and experimental success rate, we have professional PBMC isolation stations in East China, North China, South China, Northwest China and other regions, with a fully established, standardized workflow for nationwide biospecimen collection, isolation, and cold-chain transportation.
Strict Quality Control and Complete Deliverables
Upon successful line generation, we deliver 2 vials of monoclonal cell lines, accompanied by a comprehensive characterization report.
Flowchart of the Department Establishment Process
Service Details
1.Cell line morphological characterization: a image taken under low magnification of a standard light microscope. 2.Alkaline Phosphatase (AP) staining:
1.Cell line morphological characterization: a image taken under low magnification of a standard light microscope. 2.Alkaline Phosphatase (AP) staining:

 

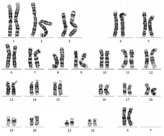
3.G-banding Karyotype Analysis: a image taken under high magnification of a standard light microscope! 4. Mycoplasma detection: PCR identification electrophoresis chart
3.G-banding Karyotype Analysis: a image taken under high magnification of a standard light microscope! 4.Mycoplasma Detection: PCR identification electrophoresis image!

 

5.Flow cytometric identification of the proportion of iPSC-specific markers (SOX2, OCT4, SSEA4, TRA-1-60) OR immunofluorescence validation of pluripotency genes (NANOG, OCT4, SOX2 and TRA-1-60, a image per gene under high magnification, 4 images in total)
Flow cytometric identification of the proportion of iPSC-specific markers
img 1.jpg

 

6.Short Tandem Repeat (STR) Genotyping : genotyping result image

 

7. Exogenous Residue Detection and Analysis (plasmid electroporation method: GAPDH, EBNA1 / Sendai virus infection method: SEV, KOS, c-Myc): product gel electrophoresis image

 

8.Mutation Site Verification (Sanger Sequencing): first-generation sequencing image and sequence interpretation results!

 

9.Reverse Transcription PCR (RT-PCR) Validation of Pluripotency Genes (SOX2, OCT4, NANOG, LIN28 and REX1): result analysis image!
Reverse Transcription PCR (RT-PCR) Validation of Pluripotency Genes

 

10.Directed Differentiation into Three Germ Layers (all markers of PAX6/NESTIN + SOX17/FOXA2 + SMA/BRACHYURY are detected): a image per germ layer under medium and high magnification of a standard light microscope, 3 images in total!